lzyq88官网

首页
产品中心 生物实验室耗材 细胞作育系列 3DSphearo? 超低吸附外貌产品
内页 3.jpg
内页 2.jpg
内页 1 拷贝.jpg
老子有钱lzyq88(中国)有限公司 老子有钱lzyq88(中国)有限公司
老子有钱lzyq88(中国)有限公司 老子有钱lzyq88(中国)有限公司

3DSphearo? 超低吸附外貌产品

超低吸附细胞作育板:6孔  96孔,,,,,平底   96孔,,,,,U底
超低吸附细胞作育皿:60 mm   100mm 
超低吸附细胞作育瓶:T75

 

联系lzyq88官网
产品先容
产品资料
订购信息
相关问题
推荐产品

产品先容

Product introduction

产品形貌

Product Details

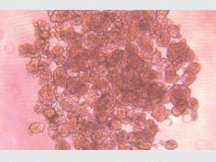
与古板的2D作育模子相比,,,,,3D球体模子能够更好的模拟三维细胞网络、细胞与基质、细胞与细胞之间的相互作用,,,,,因此,,,,,对药物筛选、体外肿瘤研究和干细胞分解与分选等的探索有着主要意义。 。。。。

洁特生物3DSphearo™超低吸附外貌产品设计用于拟球体(如 3D 肿瘤细胞球)和类器官作育,,,,,提供作育板、作育皿和作育瓶等多种产品形式。 。。。。产品外貌经特殊凝胶处置惩罚后,,,,,具有极强的抗卵白吸附性和抗细胞贴壁性,,,,,外貌险些无细胞贴壁,,,,,利于细胞的悬浮生长,,,,,可快速实现可重复、一致的细胞球体作育。 。。。。
超低吸附外貌具有共价团结的水凝胶层,,,,,具有极强的抗卵白吸附性和抗细胞贴壁性,,,,,可有用抑制细胞附着

超低吸附外貌具有共价团结的水凝胶层,,,,,具有极强的抗卵白吸附性和抗细胞贴壁性,,,,,可有用抑制细胞附着

经差别细胞作育测试验证,,,,,外貌险些无细胞贴壁,,,,,可快速实现可重复、一致、可靠的细胞球作育

经差别细胞作育测试验证,,,,,外貌险些无细胞贴壁,,,,,可快速实现可重复、一致、可靠的细胞球作育

特征

trait

*超低吸附外貌具有共价团结的水凝胶层,,,,,具有极强的抗卵白吸附性和抗细胞贴壁性,,,,,可有用抑制细胞附着,,,,,最大限度降低卵白吸附、酶活化和细胞激活
*外貌无细胞毒性、生物学惰性、不可降解
*外貌涂层结实,,,,,便于一样平常实验操作使用
*经差别细胞作育测试验证,,,,,外貌险些无细胞贴壁,,,,,可快速实现可重复、一致、可靠的细胞球作育
*提供多种超低吸附外貌产品,,,,,知足客户差别实验需要
*每个包装袋均印有产品批号,,,,,便于质量追溯
*辐照灭菌,,,,,SAL10-6
*无DNase/RNase,,,,,无热原,,,,,无细胞毒性

材质

material

*主体材质:聚苯乙烯(PS)
*作育瓶盖材质:高密度聚乙烯(HDPE)
*滤膜材质:聚四氟乙烯(PTFE)
*均切合USP Class VI标准

产品资料

Product information

2026版中文目录册

目录册

2026版中文目录册

下载文件
3DSphearo?超低吸附外貌产品
老子有钱lzyq88(中国)有限公司
3DSphearo? 超低吸附外貌产品

彩页

3DSphearo? 超低吸附外貌产品

下载文件
老子有钱lzyq88(中国)有限公司 老子有钱lzyq88(中国)有限公司
老子有钱lzyq88(中国)有限公司 老子有钱lzyq88(中国)有限公司

订购信息

Ordering information

目录号

品名

规格

外貌

灭菌

个/袋

个/箱

TCP030006

作育板

6孔

超低吸附

1

60

TCP030096

作育板

96孔(平底)

超低吸附

1

60

TCP130096

作育板

96孔(U底)

超低吸附

1

60

TCD030060

作育皿

60mm

超低吸附

5

80

TCD030100

作育皿

100mm

超低吸附

5

80

TCF030250

作育瓶

T75(250ml,,,,,滤膜盖)

超低吸附

1

60

常见问题

FAQ

细胞作育板/瓶/皿常见问题

产品名称中的TC-treated是什么意思??????

TC-treated 就是组织作育(Tissue Cultured)处置惩罚外貌的意思,,,,,洁特通过电晕放电或气体等离子的手段提升聚苯乙烯(PS)外貌的亲水性,,,,,改善细胞贴壁所需卵白的粘附情形从而资助细胞贴壁。 。。。。

我要作育悬浮细胞,,,,,应该使用哪种外貌??????

悬浮细胞没有细胞贴壁的需求,,,,,一样平常使用未处置惩罚外貌作育耗材即可。 。。。。TC处置惩罚外貌也可作育悬浮细胞,,,,,但凭证细胞的状态和种类,,,,,可能会有一些细胞泛起贴壁的征象。 。。。。

我想自己包被细胞外基质,,,,,应该选用哪种外貌的作育耗材??????

您可以选择未处置惩罚外貌的作育器皿自行包被细胞外基质。 。。。。虽然这种情形下TC处置惩罚外貌的器皿也是可以使用的。 。。。。

密闭盖的细胞作育瓶应该怎样使用??????与带滤膜的盖子使用上有什么区别??????

密封盖的细胞作育瓶提供密闭的细胞作育情形,,,,,若需要与作育箱中空气联通,,,,,需要在作育瓶放入作育箱后,,,,,将瓶盖略微拧松,,,,,以允许空气进入。 。。。。同样在取出时,,,,,需要先将瓶盖拧紧再取出。 。。。。带滤膜的盖子自己具有透气的功效,,,,,滤膜可避免微生物污染,,,,,因此在使用时直接将瓶盖拧紧放入作育箱即可,,,,,但需要注重不可将瓶盖上的滤膜打湿,,,,,湿的滤膜无法确保气体通过。 。。。。

我经常听到的T25,,,,,T175是什么意思??????

T25为例,,,,,指的是生长外貌积为25 cm2的细胞作育瓶,,,,,凭证瓶盖类型及差别作育外貌对应差别货号的产品。 。。。。

我购置了xxxxxx货号的产品,,,,,它的生长面积是几多??????我应该加几多作育基作育我的细胞??????

若是您购置的是特定的作育容器,,,,,建议审查产品说明书获取准确的生长面积和推荐的作育基添加量。 。。。。同时,,,,,差别细胞类型对作育基的需求和接种密度也有所差别,,,,,作育时所需的作育基因素、接种量和作育条件都可能保存差别,,,,,还需要凭证细胞的详细种类举行调解。 。。。。

我购置的细胞作育瓶/皿不是真空包装的,,,,,袋子看起来松松的,,,,,是不是质量有问题??????

洁特的细胞作育耗材并非真空包装,,,,,仅为运输利便举行了手工的抽气处置惩罚,,,,,因此会泛起差别。 。。。。别的,,,,,差别地区的温度与气压也会对包装的松紧水平爆发影响。 。。。。若包装无漏气征象,,,,,盖子未从产品上脱落,,,,,这不会影响产品的无菌体现和产品质量,,,,,请定心使用。 。。。。若包装破损漏气或盖子从产品上脱落,,,,,请拍摄照片并通过您的经销商提交投诉,,,,,同时请注重一并提供产品外箱照片。 。。。。您在收货时,,,,,请仔细确认外箱是否有破损或变形征象。 。。。。

一包作育耗材我没法在一次实验中用完,,,,,我应该怎样生涯??????

开封后的产品我们无法包管其无菌体现,,,,,建议您安排在无菌情形下,,,,,控制情形温度和湿度,,,,,阻止光线/紫外照射条件下存放。 。。。。

我用了洁特的作育瓶/皿/板,,,,,细胞不贴壁,,,,,是不是产品质量问题??????

导致细胞不贴壁的因素有许多,,,,,作育基因素及pH值,,,,,作育情形,,,,,消化操作,,,,,细胞类型,,,,,细胞代次等等。 。。。。若您恒久使用统一货号产品作育统一细胞株而泛起了细胞之前贴壁正常,,,,,现在不贴壁的情形,,,,,建议您实时纪录两种情形所用产品的批次号,,,,,并且举行重复的平行实验,,,,,纵然用统一泉源的细胞划分铺在这两个批次的耗材上举行作育(注重使用统一泉源的作育基),,,,,作育在统一作育箱中来确定细胞不贴壁的主要缘故原由。 。。。。

我这次购置的作育瓶/皿/板颜色比上次的黄,,,,,是不是产品质量问题??????

差别批次的塑料耗材经由辐照灭菌后可能会泛起变黄的情形,,,,,这属于正常的征象。 。。。。

关于耗材的贮存、是否无DNA酶,,,,,无RNA酶、无热原??????
lzyq88官网耗材都是无DNA酶,,,,,无RNA酶并且无热原吗??????
 
通常lzyq88官网产品都是无DNA酶,,,,,无RNA酶且无热原的,,,,,但其他品类有个体产品可能不包括这些检测项目,,,,,还请参考响应产品的质检文件(COA)。 。。。。

洁特有DEPC处置惩罚的耗材吗??????
 
DEPC处置惩罚是为了让耗材不携带核酸酶,,,,,而洁特的耗材都是无DNA酶,,,,,无RNA酶的。 。。。。这是基于我们从质料最先控制生产流程的效果。 。。。。最终产品我们对核酸酶举行质量检测,,,,,而不会特殊加入DEPC处置惩罚办法。 。。。。其产品应用与DEPC处置惩罚过的耗材是一致的,,,,,洁特产品可以取代DEPC处置惩罚耗材使用于分子生物学实验中。 。。。。

怎样适当贮存洁特耗材产品??????
 
除非有特殊要求,,,,,一样平常洁特耗材产品应存放于干燥的室温情形,,,,,注重避开紫外,,,,,臭氧,,,,,废气,,,,,烟雾等极端条件。 。。。。部分有特殊存储要求的产品会在外箱标签标示,,,,,敬请注重。 。。。。
液体处置惩罚类耗材常见问题

超低吸附产品是什么工艺??????是硅烷化处置惩罚吗??????

洁特超低吸附产品并非硅烷化处置惩罚。 。。。。洁特超低吸附产品通过改良聚丙烯树脂质料以及使用超平滑抛光铸模手艺,,,,,实现外貌零化学添加因素降低样品与外貌的团结并镌汰样品损失。 。。。。

超低吸附产品可以灭菌吗??????

不可以。 。。。。若需要无菌产品,,,,,可购置响应已灭菌的产品。 。。。。若客户自行灭菌,,,,,可能会影响超低吸附外貌,,,,,从而影响使用性能。 。。。。

滤芯吸头产品可以灭菌吗??????

不可以。 。。。。若需要无菌产品,,,,,可购置响应已灭菌的产品。 。。。。若客户自行灭菌,,,,,可能会影响滤芯的密封性,,,,,从而影响使用性能。 。。。。

一次性移液管上刻度是否准确??????

一次性移液管体积精度均以满体积时的情形来权衡,,,,,一次性移液管精度为总体积的±2%。 。。。。

一次性移液管中的胶塞有什么用途??????

胶塞可在一定水平上避免液体飞溅、倒吸进入移液器内,,,,,阻止气溶胶扩散,,,,,同时避免样品间交织污染。 。。。。

我购置了xxxxxx货号的产品,,,,,它的生长面积是几多??????我应该加几多作育基作育我的细胞??????
若是您购置的是特定的作育容器,,,,,建议审查产品说明书获取准确的生长面积和推荐的作育基添加量。 。。。。同时,,,,,差别细胞类型对作育基的需求和接种密度也有所差别,,,,,作育时所需的作育基因素、接种量和作育条件都可能保存差别,,,,,还需要凭证细胞的详细种类举行调解。 。。。。
产品名称中的TC-treated是什么意思??????
TC-treated 就是组织作育(Tissue Cultured)处置惩罚外貌的意思,,,,,洁特通过电晕放电或气体等离子的手段提升聚苯乙烯(PS)外貌的亲水性,,,,,改善细胞贴壁所需卵白的粘附情形从而资助细胞贴壁。 。。。。
我要作育悬浮细胞,,,,,应该使用哪种外貌??????
悬浮细胞没有细胞贴壁的需求,,,,,一样平常使用未处置惩罚外貌作育耗材即可。 。。。。TC处置惩罚外貌也可作育悬浮细胞,,,,,但凭证细胞的状态和种类,,,,,可能会有一些细胞泛起贴壁的征象
加载更多
常见问题

推荐产品

Recommended products

老子有钱lzyq88(中国)有限公司 老子有钱lzyq88(中国)有限公司
老子有钱lzyq88(中国)有限公司 老子有钱lzyq88(中国)有限公司
返回上一页
老子有钱lzyq88(中国)有限公司
【网站地图】【sitemap】